Аномалии формы и размера зубов — это варианты развития зубов и зубочелюстной системы, отклоняющиеся от нормы.

Аномалии развития зубов
Пороки развития зубочелюстной системы подразделяют на большие (врождённые) и малые. К врождённым аномалиям относят расщелины лица, такие как заячья губа, волчья пасть и др.; к малым — аномалии прорезывания, количества, формы, размера и структуры зубов. В отличие от врождённых пороков развития, малые аномалии не сопровождаются существенными нарушениями и не угрожают жизни пациента, но они значительно влияют на эстетику зуба и тактику лечения, а также способны привести к кариесу, неправильному прикусу и другим осложнениям .
В данной статье описаны часто встречающиеся малые аномалии формы и размера зубов: макро- и микродентия, сращение зубов и др. Абсолютные и относительные показатели их частоты и распространённости показаны в таблице ниже .
| Типы аномалий | Подтипы аномалий | Частота аномалий в популяции (%) | Распространённость аномалий (%) |
|---|---|---|---|
| Аномалии размеров | Макродентия | 0,42 | 0,16 |
| Микродентия | 7,87 | 3,08 | |
| Аномалии формы | Сращение и слияние зубов | 0,21 | 0,08 |
| Тауродонтизм | 11,27 | 4,41 |
Подтипы аномалий и причины их развития
Все аномалии формы и развития зубов могут формироваться под влиянием негативных факторов, которые нарушают развитие тканей и органов плода во время беременности. К ним относятся:
- лекарственные препараты;
- пищевые добавки;
- вирусы;
- промышленные яды;
- алкоголь;
- табачный дым и др.
Макродентия характеризуется увеличением размера зубов — большой коронкой и сужающимся корнем. Она может затрагивать как все, так и отдельные зубы . Распространённость макродентии постоянных зубов составляет 0,03-1,9 %. Чаще данная патология встречается у мужчин. Большой размер коронки вызывает проблемы с прорезыванием зубов и приводит к деформации зубного ряда .
Макродентия
Микродентия характеризуется уменьшением одного или всех зубов . Согласно эпидемиологическим исследованиям, распространённость аномалии колеблется от 1,5 % до 2 %, чаще встречается у женщин, чем у мужчин . Зубы при такой патологии обычно имеют форму конуса.

Малая аномалия развития зубов
Макро- и микродентия могут иметь наследственный характер. Так как закладка фолликулов (зачатков) постоянных зубов происходит в разное время, начиная с 5 месяца внутриутробного развития и до 3 лет, количество аномальных зубов будет зависеть от воздействия негативных факторов в этот период.
Тауродонтизм (бычий зуб) относится к аномалиям формы зуба. Он проявляется в виде увеличенной пульпарной камеры — “сердцевине” зуба, состоящей из соединительной ткани, нервов, кровеносных и лимфососудов. Основание пульпы смещается ближе к верхушке зуба, сужение на уровне цементно-эмалевого соединения отсутствует .

Степени тауродонтизма
Тауродонтизм может встречаться в любом возрасте, чаще его обнаруживают у пациентов 13-19 лет . Как правило, раньше этого возраста аномалия не проявляется, так как до 13 лет формируются корни постоянных жевательных зубов.
Дентальная эвагинация (выпячивание) затрагивает коронку зуба. Аномалия возникает в период закладки и формирования зачатков зубов. Проявляется в виде дополнительного бугорка, который выступает из коронки зуба. Такой бугорок состоит из эмали и дентина. Его размер, структура и местоположение широко варьируются. По форме он может быть роговым, коническим или пирамидальным. Иначе такую аномалию называют бугорчатым выступом, когтевидным бугорком, премоляром Леонга и окклюзионной эмалевой жемчужиной.

Дентальная эвагинация
Причины развития эвагинации до конца не выяснены. Предполагается влияние Х-сцепленного и аутосомно-доминантного наследования . При Х-сцепленном наследовании аномалия проявляется только у мужчин, а женщины являются лишь носителями мутантного гена. При аутосомно-доминантном наследовании мальчики и девочки с дентальной эвагинацией рождаются одинаково часто, причём хотя бы у одного из родителей ребёнка тоже есть такая аномалия.
Дентальная инвагинация приводит к впадению эмали внутрь зубной коронки. Иначе такую аномалию называют “зуб в зубе”. Инвагинация возникает перед кальцификацией тканей зуба во время внутриутробного развития . Она может затронуть любой зуб, но чаще всего встречается на верхних боковых резцах (передних зубах).

Дентальная инвагинация
При обнаружении схожих симптомов проконсультируйтесь у врача. Не занимайтесь самолечением – это опасно для вашего здоровья!
Симптомы аномалий формы и размера зубов
При макродентии отмечается увеличение некоторых зубов, в связи с чем оставшимся зубам в зубном ряду не хватает места. Поэтому макродентия сопровождается деформацией зубных дуг и смещением зубов .
При микродентии в один или несколько зубов уменьшены, из-за чего между ними возникают промежутки .

Макродентия (слева) и микродентия (справа)
Сдваивание и слияние зубов, как правило, вызывают жалобы на эстетические недостатки. Отличить эти аномалии от скученности зубов можно только с помощью рентгенографии .
При тауродонтизме внешне зуб выглядит нормально, так как его тело и корни лежат ниже альвеолярного края, т. е. скрываются под десной. Поэтому такую аномалию обнаруживают только благодаря данных рентгенограммы .
Дентальная инвагинация и эвагинация характеризуются неудовлетворительной эстетикой зубов, способствуют скоплению налёта, застреванию пищи и образованию кариеса. Дентальная эвагинация может вызывать раздражение и травмирование языка во время разговора или пережёвывания пищи. Иногда она сопровождается болью в височно-нижнечелюстном суставе из-за чрезмерной нагрузки на выступающий бугорок .
Кариес в инвагинированных зубах
Патогенез аномалий формы и размера зубов
Причины и механизм развития изолированной макродентии, при которой увеличивается только один или несколько зубов, не известны. Генерализованная макродентия, затрагивающая все зубы одной челюсти, обычно ассоциируется с системными нарушениями или синдромами, такими как инсулинорезистентный диабет (сахарный диабет 2-го типа), гигантизм гипофиза, синдром Костена, лицевая гемигиперплазия, синдром KBG, синдром Экмана — Вестборга — Джулина и синдром дисомии хромосомы (47, XYY) . Патогенез всех этих заболеваний связан с нарушением развития органов и систем.
Генерализованная микродентия встречается редко и является частью синдромов, таких как гипофизарный нанизм, синдром Горлина — Чаудри — Мосса и синдром Уильямса (синдром “лица эльфа”) . Их патогенез также связан с нарушением развития органов и систем.
При сращении и слиянии зубов происходит атрофия периодонтальной связки, из-за чего зуб располагается близко к кости челюсти или другому зубу. В связи с отсутствием интердентальной (межзубной) кости и функционального раздражения пародонта слои цемента между корнями зубов накладываются друг на друга и сливаются .

Периодонтальная связка
Некоторые авторы считают, что слияние зубов связано с плотным прилеганием зубных зачатков в период образования тканей зубов. Другие связывают появление данной аномалии с влиянием на зачатки тяжёлой инфекции, перенесённой в детстве.
Большинство специалистов предполагают, что в слиянии зубов участвуют несколько зубных зачатков или один, но расщеплённый, т. е. раздвоенный. Расщеплённые зачатки могут развиваться либо отдельно как нормальные и сверхкомплектные, либо сращиваться между собой на определённой стадии развития .
Если слияние плотно прилегающих зачатков наступает в процессе образования тканей зубов, то сращение — после его завершения. В сращении участвует цемент зубов, причём сращиваются только корни. За счёт слияния дентина обоих зубов формируется единая эмаль и цементная оболочка .

Сросшиеся и раздвоенные зубы
Тауродонтизм (бычий зуб) развивается при задержке кальцификации пульповой камеры во время формирования зуба . Эта аномалия может проявляться изолированно. Иногда она связана с гипофосфатазией или патологиями, вызванными нарушением расхождения половых хромосом: синдромом Клайнфельтера, синдромом Дауна, синдромом Мартина — Белл, синдромом Мора, трихо-денто-костным синдромом и синдромом Марото — Лами .

Этапы формирования зуба
Дентальная эвагинация также образуется во время формирования зубного зачатка. Предполагается, что она вызвана выпячиванием внутреннего эпителия и сосочка зубного зачатка в звёздчатый ретикулум — группу клеток, расположенных над эмалевым узлом, которые исчезают после образования первого слоя эмали .
Патогенез инвагинации зубов до конца не известен. Большинство авторов считают, что причина аномалии кроется в искривлении или прекращении роста эмали во время её развития. Причём искривление эмали может быть связано с давлением роста зубной дуги, а прекращение её роста сопровождается нормальным развитием окружающих тканей зуба.
Классификация и стадии развития аномалий формы и размера зубов
Макродентия может быть истинной или относительной, локализованной (частичной) или генерализованной (полной).
При истинной макродентии аномальные зубы значительно больше остальных. При относительной макродентии размер зубов нормальный или немного увеличенный, расположены они на небольших, недоразвитых челюстях.
При локализованной макродентии один или несколько зубов немного больше других, при этом морфология этих зубов не изменена. При генерализованной макродентии все зубы больше нормы .
Макро- и микродентия постоянных зубов разделены на четыре группы:
- аномалия размера отдельных зубов;
- аномалия размера группы зубов;
- аномалия размера зубов на одной челюсти;
- аномалия размера всех зубов .
Дентальную инвагинацию разделяют на три типа:
- первый тип — небольшая инвагинация, покрытая эмалью, находится в пределах коронки и не выходит за границы эмалево-цементного соединения;
- второй тип — инвагинация покрыта эмалью, проникает в корень, но остаётся в виде слепого (отдельного) мешка, иногда связана с пульпой зуба;
- третий тип — инвагинация проходит через весь корень, создавая дополнительное отверстие в его верхушке или пародонтальной области (боковой стенке корня), при этом связь с пульпой отсутствует. Может быть полностью покрыта эмалью или цементом .

Типы инвагинации зуба
Тауродонтизм также подразделяют на три типа:
- гипотауродонт — соотношение CB:R колеблется от 1,1 до 1,3;
- мезотауродонт — соотношение CB:R колеблется от 1,3 до 2;
- гипертауродонт — соотношение CB:R больше 2 .
Тауродонтизм: соотношение коронки и тела аномального зуба к его корню
Осложнения аномалий формы и размера зубов
Из-за несоответствия размера зубов и формы челюсти микродентия и макродентия приводят к возникновению различных зубочелюстных аномалий: образованию промежутков между зубами (диастем и трем), скученности, смещению, поворотам зубов вокруг своей оси и нарушению прикуса.

Глубокий прикус на фоне микродентии
Дентальная эвагинация осложняется патологической стираемостью и переломом образовавшегося бугорка. В дальнейшем эти повреждения могут привести к некрозу (омертвению) пульпы и развитию периапикальной инфекции, которая впоследствии становится причиной разрушения зуба.
Высота эвагинации в передней группе зубов может достигать режущего края коронки. Такая аномалия нарушает не только эстетику, но и смыкание зубов (окклюзию). Всё это может вызвать боль в области десны и височно-нижнечелюстного сустава.

Эвагинация верхнего резца
Зубы с эвагинацией обычно имеют глубокие фиссуры — естественные бороздки в эмали, расположенные на жевательной поверхности зуба. Они способствуют скоплению налёта, из-за чего зубы становятся более восприимчивыми к кариесу .
Инвагинация и тауродонтизм не приводят к осложнениям, но из-за своего неправильного строения создают трудности при лечении: каналы таких зубов довольно сложно пломбировать.
Диагностика аномалий формы и размера зубов
Для диагностики аномалий размеров зубов часто применяют методику, разработанную доктором медицинских наук Зубковой Л. П. Согласно данной методике, патологию выявляют по измерению и суммированию ширины четырёх верхних и нижних резцов:
- при нормальном размере зубов ширина верхних резцов будет составлять 28-32 мм, а ширина нижних резцов — 22-24 мм;
- при относительной макродентии ширина верхних резцов будет в пределах 33-34 мм, а ширина нижних — в пределах 25-27 мм;
- при абсолютной макродентии ширина верхних резцов будет более 35 мм, а ширина нижних — более 28 мм;
- при микродентии ширина верхних резцов будет менее 28 мм, а ширина нижних — менее 22 мм .
Слияние и сдваивание зубов почти всегда затрагивают передние зубы, а сращение — второй и третий жевательные зубы (моляры) на верхней челюсти . Для постановки диагноза достаточно осмотра и рентгенографии.
Раздвоенный (слева) и сросшиеся зубы (справа): внешний вид и рентгенограмма
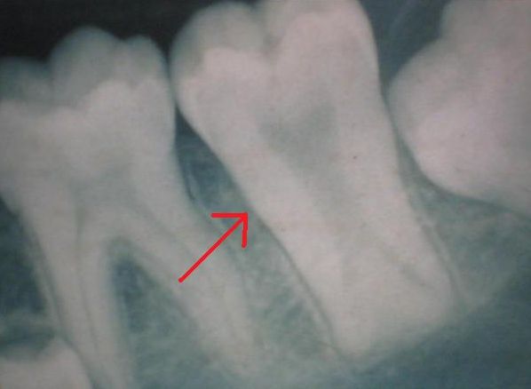
Тауродонтизм обнаруживается только благодаря рентгенографии. Его характеризует расширенная пульповая камера в форме прямоугольника. Тело зуба удлинено, корни и корневые каналы укорочены. При этом размер коронки остаётся нормальным.

Тауродонтизм на рентгенограмме
Бычий зуб необходимо отличать от наследственной патологии, при которой нарушается формирование дентина. У такого зуба на рентгенограмме отмечается большая пульповая камера и широкие апикальные (прикорневые) отверстия. Сами корни сформированы не полностью .
Дентальная эвагинация видна невооружённым глазом, однако она всё равно требует выполнения рентгенографии. Исследование позволяет исключить сопутствующие аномалии зубов: инвагинацию, сверхкомплектные зубы и др. На снимке эвагинация состоит из нормальной эмали и дентина .

Эвагинация зуба на рентгенограмме
Лечение аномалий формы и размера зубов
Лечение макродентии заключается в эстетической реабилитации с помощью реставрации или ортопедических манипуляций: препарирования зубов, покрытия их винирами или коронками.

Лечение локализованной макродентии
При микродентии возможно применение ортодонтического лечения и комплексной реабилитации. Ортодонтическое лечение включает в себя перемещение зубов и закрытие промежутков, а также создание необходимого места в зубном ряду для последующей реабилитации зубов с помощью реставрации или покрытия их винирами или коронками.

Реставрация “конического” зуба
Для улучшения эстетики и функции зуба с аномалией формы может потребоваться операция, ортодонтическое лечение, удаление пульпы, а также восстановление зубов с использованием виниров и коронок. Однако не все пациенты с аномалиями формы зубов нуждаются в лечении. В нём нет необходимости, если:
- отсутствует кариес;
- больной считает эстетический вид зубов удовлетворительным;
- смыкание зубных рядов не нарушено и не вызывает функциональную перегрузку отдельных зубов;
- бугорок при эвагинации зуба не острый и не стирается.

Комплексное лечение слияния зубов
Рациональный и консервативный подход к лечению зубов с аномалиями формы включает профилактику кариеса и его осложнений. С этой целью проводится герметизация фиссур и реминерализующая терапия. При герметизации фиссур естественные углубления на поверхности зубов запечатывают специальным материалом. При реминерализующей терапии зубную эмаль покрывают препаратами с минеральными компонентами, которые восстанавливают её структуру.

Герметизация фиссур
Чтобы снизить риск непреднамеренного перелома когтевидного бугорка, расположенного на жевательном зубе, эвагинацию склеивают с поверхностью зуба при помощи композита (специального цемента). Также возможно пришлифование зуба с дентальной эвагинацией, однако после такой процедуры зуб может стать более чувствительным к внешним раздражителям .
Заподозрить сращение и слияние зубов можно, если при правильной ортодонтической нагрузке (например при исправлении прикуса с помощью брекетов) зуб не сдвигается с места или если при удалении зуба он оказывает явное сопротивление. В таких случаях лечение будет заключаться в депульпировании данных зубов (удалении пульпы) и хирургическом разделении сросшихся корней .
Специфического лечения тауродонтизма нет. Однако для успешного лечения каналов такого зуба следует учитывать особенность его строения. Во время протезирования бычьего зуба рекомендуется не использовать штифты, так как такой зуб не обладает устойчивостью — его не следует использовать в качестве опоры .
Прогноз. Профилактика
Профилактика возникновения аномалий зубов — это ведение здорового образа жизни и устранение негативного воздействия внешних факторов (лекарственных препаратов, пищевых добавок, вирусов, промышленных ядов, алкоголя, табачного дыма и др.) во время беременности.
К медицинским методам профилактики можно отнести медико-генетическое консультирование и ультразвуковую диагностику (УЗИ). Консультация генетика показана в обязательном порядке, если у родственников, родителей или старших детей имеются врождённые пороки развития. УЗИ-диагностика должна проводиться по назначению врача во время 10-13 недели беременности, а также с 16 по 22 неделю и в третьем триместре. С её помощью можно выявить до 60-70 % отклонений. Кроме того, для диагностики пороков развития во время беременности можно провести анализ околоплодных вод, биопсию плаценты или биохимический анализ крови матери.
При аномалии формы зубов важно не забывать о профилактике кариеса и его осложнений. Так, при сращении или слиянии желательно выполнить реставрацию зубов, герметизацию или устранение глубоких фиссур .
Список литературы
- Янушевич О. О. Медицинская и клиническая генетика для стоматологов / Учебное пособие. — М.: ГЭОТАР-Медиа, 2008. — 400 с.
- Levitan M. E., Himel V. T. Dens evaginatus: literature review, pathophysiology, and comprehensive treatment regimen // J. Endod. — 2006; 32 (1): 1-9.ссылка
- Hamasha A. A., Safadi R. A. Prevalence of talon cusps in Jordanian permanent teeth: a radiographic study // BMC Oral Health. — 2010; 10: 6.ссылка
- Старикова И. В., Радышевская Т. Н., Марымова Е. Б. Дентальная эвагинация. Понятие, клиника, диагностика и лечение // Волгоградский научно-медицинский журнал. — 2018. — № 2. — С. 7-9.
- Севастьянов А. В., Фищев С. Б., Фоменко И. В., Егорова А. В., Наумов Н. Г. Варианты макродентии в периоде постоянного прикуса // Стоматология детского возраста и профилактика. — 2010. — № 3. — С. 40-42.
- Фищев С. Б., Севастьянов А. В., Егорова А. В., Ртищева С. С. И др. Клинические варианты микродентии в периоде прикуса постоянных зубов // Стоматология детского возраста и профилактика. — 2012. — № 1. — С. 33-36.
- Бердин В. В., Лепилин А. В., Севастьянов А. В., Фищев С. Б., Дмитриенко Д. С. Различные виды макродонтии в периоде постоянного прикуса // Стоматология детского возраста и профилактика. — 2013. — № 1. — С. 58-60.
- Herring M. E., Lee C., Taylor J., Hajishengallis E. Macrodontia Associated with Mandibular Distraction Osteogenesis // Journal of Dentistry for Children. — 2020; 87 (1): 48-52.ссылка
- Lao A., Bi S., Cheng H., Lai T., Huang S., Zhao S. A combination of kissing molars, maxillary bilateral supernumerary teeth and macrodontia: a rare case report // BMC Oral Health. — 2020; 20 (1): 2-5.ссылка
- Canoglu E., Canoglu H., Aktas A., Cehreli Z. C. Isolated bilateral macrodontia of mandibular second premolars: a case report // Eur J Dent. — 2002; 6 (3): 330-334.ссылка
- Bilge N. H., Yeşiltepe S., Törenek Ağırman K., Çağlayan F., Bilge O. M. Investigation of Prevalence of Dental Anomalies by Using Digital Panoramic Radiographs // Folia Morphol (Warsz). — 2018; 77 (2): 323-328.ссылка
- Jafarzadeh H., Azarpazhooh A., Mayhall J. T. Taurodontism: a review of the condition and endodontic treatment challenges // International Endodontic Journal. — 2008; 41 (5): 375-388.ссылка
- Alani A., Bishop K. Dens invaginatus. Part 1: classification, prevalence and aetiology // International Endodontic Journal. — 2008; 41 (12): 1123-1136.ссылка
- Ahmed H. M. A., Dummer P. M. H. A new system for classifying tooth, root and canal anomalies // Int Endod J. — 2018; 51 (4): 389-404.ссылка
- Bharti R., Chandra A., Tikku A. P., Wadhwani K. K. “Taurodontism” an endodontic challenge: a case report // J Oral Sci. — 2009; 51 (3): 471-474.ссылка
- Dineshshankar J., Sivakumar M., Balasubramanium A. M., Kesavan G., Karthikeyan M., Prasad V. S. Taurodontism // J Pharm Bioallied Sci. — 2014; 6 (1): 13-15.ссылка
- Bhat S., Sargod S., Mohammed S. V. Taurodontism in deciduous molars — a case report // J Indian Soc Pedo Prev Dent. — 2004; 22 (4): 193-196.ссылка
- Mohan R. P., Verma S., Agarwal N., Singh U. Taurodontism // BMJ Case Rep. — 2013; bcr2012008490.ссылка
- Guttal K. S., Naikmasur V. G., Bhargava P. Frequency of developmental dental anomalies in the Indian population // Eur J Dent. — 2010; 4 (3): 263-269.ссылка
- Bargale S. D., Kiran S. D. Non-syndromic occurrence of true generalized microdontia with mandibular mesiodens — a rare case // Head & Face Med. — 2011; 19.ссылка
- Consolaro A., Hadaya O., Miranda D. A. O., Consolaro R. B. Concrescence: can the teeth involved be moved or separated? // Dental Press J Orthod. — 2020; 25 (1): 20-25.ссылка
- Reddy V. R., Chowdhary N., Kumar G. S., Ambareen Z. Bilateral fusion of mandibular primary teeth with partial anodontia of permanent teeth: a report of a rare case // Saudi Journal for Health Sciences. — 2017; 6 (3): 182-184.
- Зубкова Л. П. Аномалии зубочелюстной системы, обусловленные макродентией, методы диагностики и лечения / Автореф. дис… канд. мед. наук. — К., 1981. — 25 с.
Влияние аномалий формы и размера зубов на общее здоровье
Несоответствия в строении зубов могут оказывать отрицательное воздействие не только на состояние полости рта, но и на функционирование организма в целом. Эти изменения способны вызывать множество проблем, начиная с механических трудностей и заканчивая хроническими заболеваниями. Рассмотрим, каким образом такие отклонения могут повлиять на разные аспекты здоровья человека.
Сначала обсудим трудности, связанные с жеванием. Неправильная форма зубов приводит к неравномерному распределению нагрузки при пережевывании пищи. Это может провоцировать быструю усталость мышц и даже создавать условия для развития болезней желудочно-кишечного тракта из-за недостаточно измельченной пищи. Неправильное перераспределение жевательной силы приводит к дополнительной нагрузке на челюстные суставы, что может вызывать их износ и структурные изменения.
Не менее значимым аспектом является нарушение дикции. Дефекты зубного ряда способны препятствовать правильному произношению звуков, что особенно важно для детей, которые только учатся говорить. Взрослые с подобными дефектами могут испытывать сложности в профессиональной и социальной сферах из-за нарушения общительной функции.
Эстетический аспект также играет важную роль. Зубные отклонения часто становятся причиной неудовлетворенности внешним видом. Это может снижать самооценку и вызывать психологические проблемы. Приспособление к таким изменениям требует усилий и может повлиять на уверенность в себе и эмоциональное состояние.
Помимо механических и эстетических трудностей, аномалии могут стать причиной различных заболеваний. Негерметичное прилегание зубов один к другому усложняет гигиену полости рта, способствуя накоплению зубного налета и развитию кариеса. Это, в свою очередь, может привести к инфекции десен, что серьёзно угрожает общему здоровью, так как бактерии из полости рта могут проникать в кровоток и приводить к системным инфекциям.
Ещё один важный момент – дыхательная функция. Неправильно сформированный зубной ряд может провоцировать неправильное положение языка и изменение дыхательных путей. Это может стать причиной храпа и обструктивного апноэ во сне, состояний, которые способны влиять на качество сна и приводить к ухудшению общего самочувствия.
Видео по теме:
Вопрос-ответ:
Что означает “аномалии формы и размера зубов” и как они могут проявляться?
Аномалии формы и размера зубов – это отклонения от нормальной анатомической структуры зубов, которые могут возникать по разным причинам, включая генетические факторы, заболевания или травмы. Эти аномалии проявляются в виде зубов неправильной формы (например, «ложковидные» зубы) или нескоординированного размера (слишком большие или маленькие зубы). Они могут приводить к эстетическим или функциональным проблемам, таким как сложности прикуса, нарушения жевательной функции или проблемы с гигиеной полости рта.
Какие основные причины возникновения аномалий формы и размера зубов?
Основные причины возникновения аномалий формы и размера зубов включают генетические факторы, влияние внешней среды, и влияние таких заболеваний, как рахит и флюороз. Недоразвитие челюсти, ранняя потеря молочных зубов или травмы могут также привести к таким аномалиям. К тому же злоупотребление антибиотиками во время беременности или в раннем детстве может оказывать негативное влияние на развитие зубов, например, приводить к гипоплазии эмали.
Как диагностируются аномалии формы и размера зубов?
Для диагностики аномалий формы и размера зубов стоматолог сначала проводит визуальный осмотр и сбор анамнеза пациента. Затем могут быть назначены дополнительные исследования, такие как рентгенография, ортопантомограмма или конусно-лучевая компьютерная томография, чтобы получить более детальную информацию о структуре и положении зубов. В случае необходимости стоматолог может направить пациента к ортодонту или другому специалисту для более точной диагностики и составления плана лечения.
В чем заключается лечение аномалий формы и размера зубов?
Лечение аномалий формы и размера зубов зависит от конкретного случая и может включать разнообразные подходы. Устранение эстетических дефектов часто достигается с помощью реставраций, таких как композитные материалы, виниры или коронки. Если аномалии приводят к изменению прикуса, может потребоваться ортодонтическое лечение, включающее брекеты или элайнеры. В некоторых случаях возможна хирургическая коррекция. Важно помнить, что грамотный план лечения должен быть составлен квалифицированным стоматологом после проведения полного обследования.
Можно ли предотвратить развитие аномалий формы и размера зубов у детей?
Для предотвращения развития аномалий формы и размера зубов у детей рекомендуется следовать ряду профилактических мер. Это включает регулярные визиты к стоматологу для раннего выявления и коррекции потенциальных проблем, обеспечение правильного питания с достаточным содержанием витаминов и минералов, и тщательную гигиену полости рта. Ограничьте использование сосок и бутылочек после достижения ребенком годовалого возраста, чтобы избежать проблем с прикусом. Также важно избегать травм челюстей и зубов, которые могут привести к нарушениям развития.



